所謂牙痛慘過大病,而其中一樣辛苦難忍的,莫過於是生智慧齒。智慧齒通常都會令患者非常痛苦,不但會釀成劇痛導致失眠,還會使人無法正常進食。另一邊廂,也有些患者並不會出現明顯症狀,甚至不知道自己已長出了智慧齒,但卻總是認為有需要把智慧齒拔掉。
「唔痛就唔洗剝」,這個傳統智慧是否正確呢?剝完智慧齒塊面會瘦些嗎?Bowtie團隊特意請來張申錄牙醫,和大家深入講解有關疑問和常見謬誤。
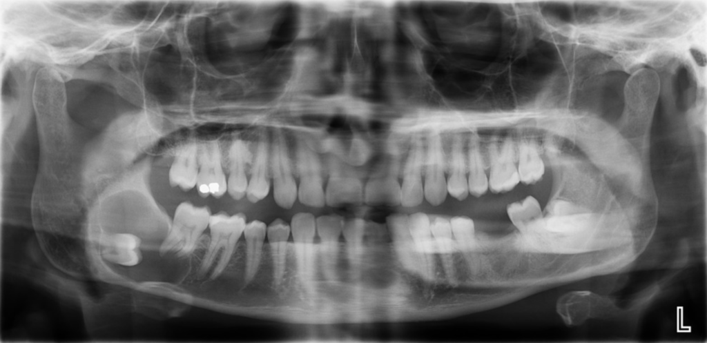
智慧齒是上顎和下顎左右兩邊的第三隻大臼齒(亦是最後一隻), 通常在18 – 25歲時左右生出來。
據統計,約75%人有齊4隻智慧齒,約25%人缺少至少一隻智慧齒。當牙弓沒有足夠的地方容納智慧齒,或者智慧齒的生長位置或角度不對,就會令智慧齒不能完全長出,出現阻生智慧齒問題。症狀包括但不限於痛楚、牙肉膿腫、口腔出現異味、面部受影響位置腫脹、張口困難等。
我建議病人在16 – 19歲的時候,去牙醫診所接受口腔和X-光檢查,評估智慧齒的生長情況,看看是否有需要拔除。
至於是否需要拔除,牙醫一般會參考以下幾方面作判斷:
首先,要分清楚脫智慧齒是為了解決現在的問題,還是預防將來的問題?屬於預防性?還是治療性呢?
1. 治療性
例如智慧齒已被蛀壞、含膿、出現牙肉發炎,又或者出現囊腫和前面牙齒牙腳被吸收等情況,而需要脫除。
2. 預防性
例如智慧齒經常攝食物和非常困難清潔,擔心將來引起問題,而決定脫除。一般來說,已暴露出口腔的阻生智慧齒較容易引起問題,因為牙菌膜會在阻生的位置積聚,引起蛀牙,牙周病或牙冠炎等問題。
需要注意的是,每個病人的風險也不同,需要考慮到病歷,年齡,牙齒阻生情況等。脫智慧齒屬於手術性質,最常見會有面部腫脹和疼痛,其他常見風險包括流血、傷口發炎、牙根斷裂等。比較少見,但需要知道的,是脫下面智慧齒有機會造成附近兩條神經線損傷。
我們亦可以參考其他國家建議。例如英國國家健康與照顧卓越研究院 (The National Institute for Health and Care Excellence, 簡稱 NICE) 。它建議當病人智慧齒出現問題時,才需要脫除智慧齒。另外,當第一次出現牙冠炎時,除非十分嚴重,否則不需要把它脫除。
至於美國口腔顎面外科學會 (The American Association of Oral and Maxillofacial Surgeons,簡稱AAOMS) 有兩點建議:第一 ,如果預期智慧齒將來很大機會出現問題,就需要接受手術治療;第二,應該在25歲前決定是否接受上述手術,因為年紀愈大,康復時間愈慢,手術難度亦愈高。
不會的,這只是個美麗的誤會。面部形狀是由顴骨、上頜骨和下頜骨等決定,肌肉和牙齒只有些微細節修飾作用。
在近代牙科學說中,普遍認為造成下門牙出現排列不齊,是由多個原因引發,智慧齒可能是其中一個原因;但意見一致認為不應該因為避免下門牙出現排列不齊,而脫掉智慧齒。
不時有病人在照X光檢查時才意外發現阻生智慧齒出現問題,所以單憑痛楚或牙肉發炎等症狀,並不能準確反映牙齒是否健康良好。
手術收費需視乎複雜程度、由普通科醫生還是專科醫生施行、採用局部麻醉還是全身麻醉等諸多因素。費用可由數千到一萬元不等。
1. 拔牙前
由於脫智慧齒是一個小手術,所以需要通知醫生最新病歷和正在服用的藥物以作安排。在進行手術前,請確保徹底清潔口腔和牙齒。除非另有指示,在當天手術之前,可以吃些輕便容易消化的食物。建議穿著舒適,寬鬆的衣服。
2. 手術後
手術後當天主要留意兩件事:止痛和止血。
止痛可服食牙科手術醫生處方的止痛藥。止血方面,手術後需要咬實紗布約半小時,另外手術後24小時內不要刷牙、吐口水和使用漱口水,如再流血可咬著一塊紗布,約半小時到40分鐘來止血。
傷口一般來說會慢慢康復,約在一個月左右埋口。期間,可用鹽水或白開口漱口,將藏在牙洞裏的食物徹底沖走,保持清潔,避免傷口發炎。
圖一:覆蓋在牙冠上的牙肉容易引起發炎
圖二:X光顯示阻生智慧齒令到前面牙齒嚴重蛀壞
圖三:右下智慧齒附近組織演變了齒源性囊腫
優惠詳情請參閱有關條款及細則。
優惠詳情請參閱有關條款及細則。



